
Time's up
Female reproductive anatomy:
Menstrual cycle physiology:

Eye anatomy:

Male reproductive system anatomy:

Female reproductive system anatomy:

Ear anatomy:

Sinuses anatomy:

Common skin lesions:

Common skin rashes:

Digestive process and key enzymes:

Types of jaundice:

Common abdominal X-ray findings:

Blood cell types and their functions:

Common blood smear findings:

Common bacterial infections:

Common viral infections:

Bone anatomy:

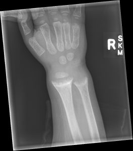
Common bone fractures:

Joint pain differential diagnosis:

Urinary system anatomy:

Nephron Function:

Interpretation of common urinalysis results:

Endocrine glands and their hormones:

Hormonal pathways and feedback mechanisms:

Lung anatomy and physiology:

Abnormal lung sounds:

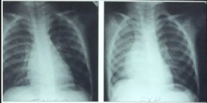
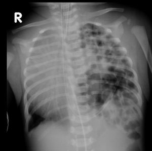
Common X-ray Findings:

Major brain regions and their functions:

Circle of Willis:

Cranial nerves and their functions:

Heart anatomy and Physiology:

Heart Murmurs:

ECG Basics:













































































































































































































