Abscesses or gum boil on the gums are indicators of bacterial illness. People with gum disease or those who have just undergone dental surgery are more likely to experience them. In certain circumstances, plaque and food can get into gum pocket, allowing germs to flourish out of control.
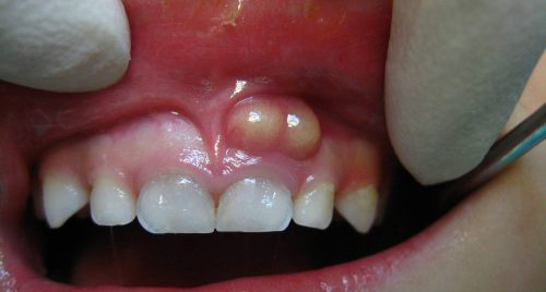
An abscess that forms on the gums is known as a gum boil. It resembles a swollen lump and is primarily caused by a bacterial infection under the gum’s surface.
Gum boils come in two distinct varieties. One variety develops nearer to the tooth and is more dangerous. The underlying infection necessitates immediate medical care and frequently a root canal.
Gum infections that are not treated might spread to other parts of the body. For the most part, antibiotics and dental work are required to treat gum boils. Home cures can ease discomfort and stop issues from getting worse.
Although some gum boils don’t hurt, the majority do. The first sign that you have a boil on your gums is often pain.
You might notice a lump on your gum after experiencing discomfort if you use your tongue to probe the area or if you use a mirror to examine inside your mouth.
The following are some signs of gum boils:
A dentist may suggest one or a combination of the following procedures to cure the infection and stop the development of new boils:
Killing the microorganisms that are causing the infection is the first step. Antibiotics are frequently required because boils typically develop below the gumline, where topical remedies are ineffective.
Usually, gum disease or tooth decay allow germs to infect the gums.
Plaque and tartar can be removed and the gums can heal with deep cleaning and a related process called scale and root planing.
Improved oral hygiene practices can frequently aid in preventing recurrent abscesses.
The pus from the lump may need to be removed by a dentist. This can ease any discomfort and hasten the healing process.
A root canal will probably be required to treat a periapical abscess, which can be caused by dental decay.
Gum disease that is severe might harm neighboring teeth and bones. In these unusual circumstances, a dentist might operate to extract the tooth or repair any bone damage.
There are a few things you can do at home to temporarily reduce your discomfort until you can see your dentist to decide the best course of action, including:
– gargling with waltwater
– using garlic juice to rinse
– Clove oil or tea tree oil can be applied to the affected area.
– Rinsing using a water-hydrogen peroxide solution that is split 50/50
This article was written by Hashem Khdour, Medical Doctor and the founder of Medicogenic medicine learning & health website
Female reproductive anatomy:
Menstrual cycle physiology:

Eye anatomy:

Male reproductive system anatomy:

Female reproductive system anatomy:

Ear anatomy:

Sinuses anatomy:

Common skin lesions:

Common skin rashes:

Digestive process and key enzymes:

Types of jaundice:

Common abdominal X-ray findings:

Blood cell types and their functions:

Common blood smear findings:

Common bacterial infections:

Common viral infections:

Bone anatomy:

Common bone fractures:

Joint pain differential diagnosis:

Urinary system anatomy:

Nephron Function:

Interpretation of common urinalysis results:

Endocrine glands and their hormones:

Hormonal pathways and feedback mechanisms:

Lung anatomy and physiology:

Abnormal lung sounds:

Common X-ray Findings:

Major brain regions and their functions:

Circle of Willis:

Cranial nerves and their functions:

Heart anatomy and Physiology:

Heart Murmurs:

ECG Basics:













































































































































































































